Email:
smile@geladaris-dent.gr
Συχνές ερωτήσεις
Κλείστε ραντεβού / Επικοινωνία
Toggle navigation
ΑΡΧΙΚΗ
ΓΙΑΤΡΟΣ
ΚΛΙΝΙΚΕΣ
Κλινική Θεσσαλονίκης
Κλινική Κοζάνης
ΚΑΙΝΟΤΟΜΙΑ
Συνδυασμός 2 ειδικοτήτων
Άμεση φόρτιση
Οδοντιατρική 4 χειρών
Εργαστήριο
Αίθουσα αποστείρωσης
Αναισθησία
Ψηφιακή ακτινογραφία /
φορητή μονάδα
Πλήρως ψηφιοποίημενο ιατρείο
ΥΠΗΡΕΣΙΕΣ
Προσθετική
Εμφυτευματολογία
Αισθητική οδοντιατρική
Γενική οδοντιατρική
Περιοδοντική θεραπεία
Μικρή χειρουργική στόματος
ΕΜΠΕΙΡΙΕΣ ΑΣΘΕΝΩΝ
ΠΡΙΝ ΚΑΙ ΜΕΤΑ
Πριν και μετά
Δείτε φωτογραφίες περιστατικών αισθητικής αποκατάστασης δοντιών
Όλα
Αισθητική
Προσθετική
Εμφυτευματολογία
Στεφάνες
Αισθητική
Όψεις
Αισθητική
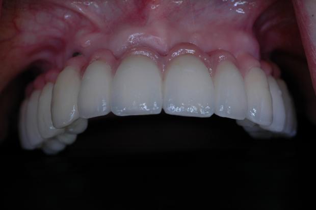
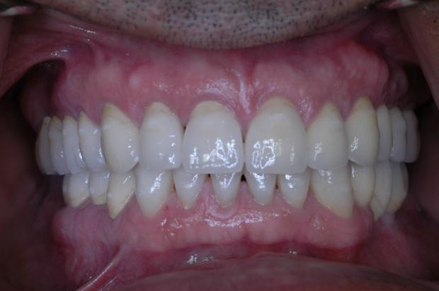
Ακίνητες αποκαταστάσεις δοντιών
Προσθετική
Άμεση φόρτιση
Εμφυτευματολογία
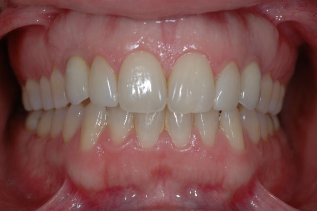
Ολοκεραμικές Στεφάνες
Αισθητική
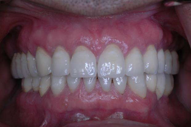
Μονές στεφάνες (θήκες)
Εμφυτευματολογία
Γέφυρες
Εμφυτευματολογία
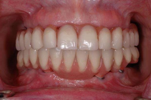
Ολικές αποκαταστάσεις
Εμφυτευματολογία
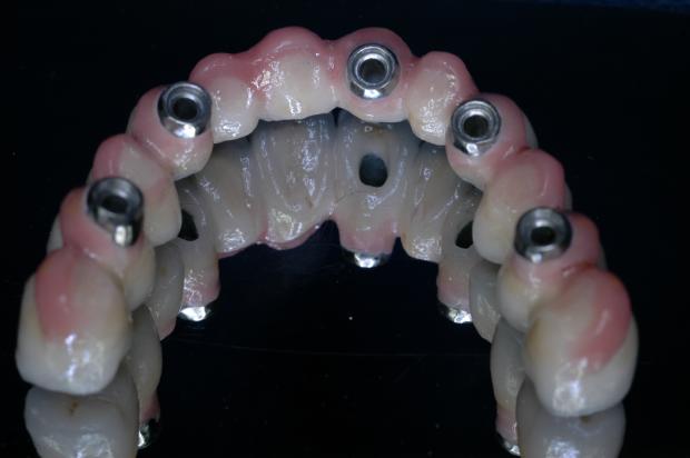
Ακίνητες αποκαταστάσεις εμφυτευμάτων
Προσθετική
Συνδυασμός αποκαταστάσεων δοντιών & εμφυτευμάτων
Προσθετική
Αισθητικές ανασυστάσεις
Αισθητική
Άμεσες ολικές αποκαταστάσεις ρητίνης
Αισθητική